|
Background: |
This gene is a member of the EMP24/GP25L/p24 family and encodes a protein with a GOLD domain. This type I membrane protein is localized to the plasma membrane and golgi cisternae and is involved in vesicular protein trafficking. The protein is also a member of a heteromeric secretase complex and regulates the complex's gamma-secretase activity without affecting its epsilon-secretase activity. Mutations in this gene have been associated with early-onset familial Alzheimer's disease. This gene has a pseudogene on chromosome 8. |
|
Applications: |
ELISA, WB, IHC |
|
Name of antibody: |
TMED10 |
|
Immunogen: |
Fusion protein of human TMED10 |
|
Full name: |
transmembrane p24 trafficking protein 10 |
|
Synonyms: |
p23; TMP21; p24d1; S31I125; Tmp-21-I; S31III125; P24(DELTA) |
|
SwissProt: |
P49755 |
|
ELISA Recommended dilution: |
5000-10000 |
|
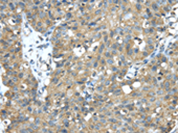
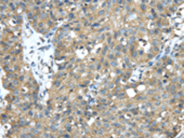
IHC positive control: |
Human lung cancer and Human liver cancer |
|
IHC Recommend dilution: |
50-200 |
|
WB Predicted band size: |
25 kDa |
|
WB Positive control: |
NIH/3T3 cell, Mouse Pancreas tissue, Rat lung tissue, Mouse liver tissue, Hela, Raji cell lysates |
|
WB Recommended dilution: |
1000-5000 |

購(gòu)物車
幫助
021-54845833/15800441009
