|
Background: |
DEPTOR (DEP domain containing MTOR-interacting protein), also known as DEP.6 or DEPDC6 (DEP domain-containing protein 6), is a 409 amino acid protein that negatively regulates mTORC1 and mTORC2 pathways. DEPTOR interacts with FRAP via its PDZ domain, and undergoes post-translational phosphorylation. Containing two DEP domains and one PDZ (DHR) domain, DEPTOR is encoded by a gene that maps to human chromosome 8q24.12. Chromosome 8 consists of nearly 146 million base pairs, encodes over 800 genes and is associated with a variety of diseases and malignancies. Schizophrenia, bipolar disorder, Trisomy 8, Pfeiffer syndrome, congenital hypothyroidism, Waardenburg syndrome and some leukemias and lymphomas are thought to occur as a result of defects in specific genes that map to chromosome 8. |
|
Applications: |
ELISA, WB, IHC |
|
Name of antibody: |
DEPTOR |
|
Immunogen: |
Synthetic peptide of human DEPTOR |
|
Full name: |
DEP domain containing MTOR-interacting protein |
|
Synonyms: |
DEP.6; DEPDC6 |
|
SwissProt: |
Q8TB45 |
|
ELISA Recommended dilution: |
5000-10000 |
|
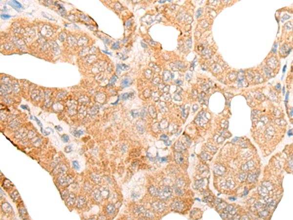
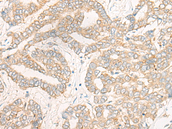
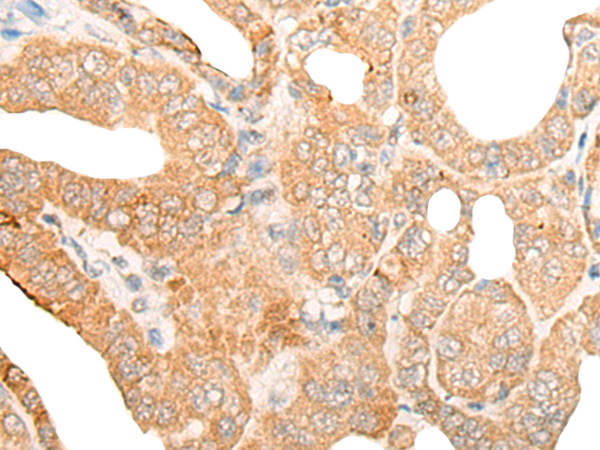
IHC positive control: |
Human thyroid cancer;Human liver cancer |
|
IHC Recommend dilution: |
25-100 |
|
WB Predicted band size: |
46 kDa |
|
WB Positive control: |
Human fetal liver tissue lysate |
|
WB Recommended dilution: |
200-1000 |


購(gòu)物車
幫助
021-54845833/15800441009
