中文名稱: 兔抗TXNRD2多克隆抗體
|
Background: |
This gene encodes a member of the class I pyridine nucleotide-disulfide oxidoreductase family. The encoded protein is a selenocysteine-containing flavoenzyme that maintains thioredoxins in a reduced state, thereby playing a key role in regulating the cellular redox environment. Mammals have three related thioredoxin reductases. This gene encodes a mitochondrial form important for scavenging of reactive oxygen species in mitochondria. |
|
Applications: |
WB, IHC |
|
Name of antibody: |
TXNRD2 |
|
Immunogen: |
Synthesized peptide derived from Internal of human TRXR2. |
|
Full name: |
thioredoxin reductase 2 |
|
Synonyms: |
TR; TR3; SELZ; TRXR2; TR-BETA |
|
SwissProt: |
Q9NNW7 |
|
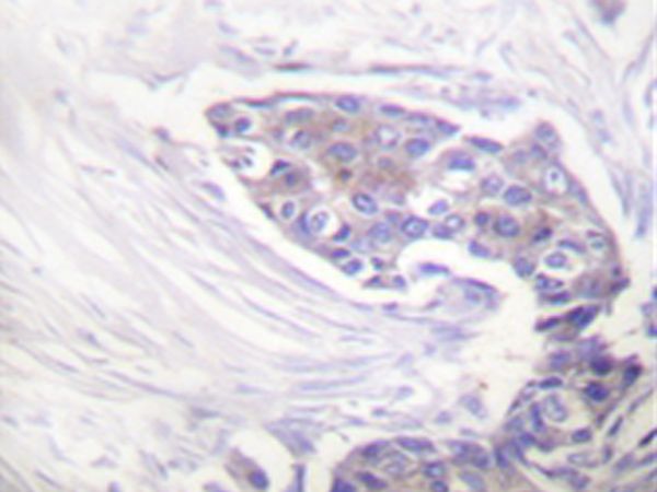
IHC positive control: |
Human breast carcinoma tissue |
|
IHC Recommend dilution: |
50-100 |
|
WB Predicted band size: |
57 kDa |
|
WB Positive control: |
HT29 cells lysate |
|
WB Recommended dilution: |
500-3000 |


購物車
幫助
021-54845833/15800441009
