中文名稱:小鼠抗HDAC3單克隆抗體
|
Background: |
Histones play a critical role in transcriptional regulation, cell cycle progression, and developmental events. Histone acetylation/deacetylation alters chromosome structure and affects transcription factor access to DNA. The protein encoded by this gene belongs to the histone deacetylase/acuc/apha family. It has histone deacetylase activity and represses transcription when tethered to a promoter. It may participate in the regulation of transcription through its binding with the zinc-finger transcription factor YY1. This protein can also down-regulate p53 function and thus modulate cell growth and apoptosis. This gene is regarded as a potential tumor suppressor gene. |
|
Applications: |
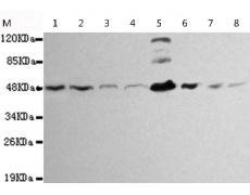
WB |
|
Name of antibody: |
HDAC3 |
|
Immunogen: |
Fusion protein of human HDAC3 |
|
Full name: |
histone deacetylase 3 |
|
Synonyms: |
HD3; RPD3; RPD3-2 |
|
SwissProt: |
O15379 |
|
WB Predicted band size: |
49 kDa |
|
WB Positive control: |
THP-1, LNCAP, MCF7, PC12, 293, Jurkat, 3T3 and Hela cell lysates |
|
WB Recommended dilution: |
1000-5000 |

購物車
幫助
021-54845833/15800441009
