|
Background: |
This gene encodes a protein with MIT-interacting motifs that interacts with components of endosomal sorting complexes required for transport (ESCRT). ESCRT functions in vesicle budding, such as that which occurs during membrane abscission in cytokinesis. There is a pseudogene for this gene on chromosome 19. Alternatively spliced transcript variants encoding multiple isoforms have been observed for this gene. |
|
Applications: |
ELISA, WB, IHC |
|
Name of antibody: |
IST1 |
|
Immunogen: |
Synthetic peptide of human IST1 |
|
Full name: |
IST1, ESCRT-III associated factor |
|
Synonyms: |
OLC1 |
|
SwissProt: |
P53990 |
|
ELISA Recommended dilution: |
5000-10000 |
|
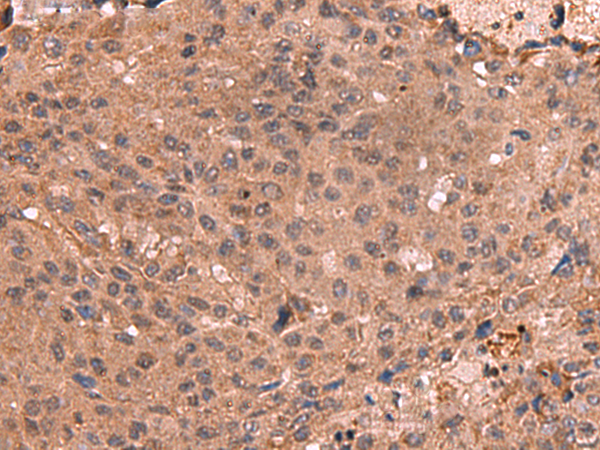
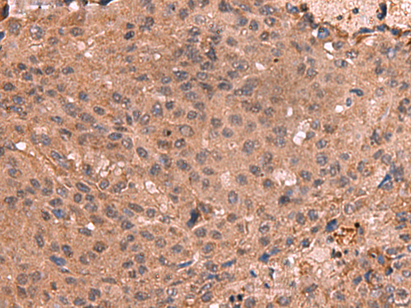
IHC positive control: |
Human colorectal cancer |
|
IHC Recommend dilution: |
40-200 |
|
WB Predicted band size: |
40 kDa |
|
WB Positive control: |
Hela cell lysate |
|
WB Recommended dilution: |
1000-5000 |


購物車
幫助
021-54845833/15800441009
