中文名稱: 兔抗ZBTB40多克隆抗體
|
Background: |
May be involved in transcriptional regulation. |
|
Applications: |
WB, IHC |
|
Name of antibody: |
ZBTB40 |
|
Immunogen: |
Synthesized peptide derived from C-terminal of human ZBTB40. |
|
Full name: |
zinc finger and BTB domain containing 40 |
|
Synonyms: |
ZNF923 |
|
SwissProt: |
Q9NUA8 |
|
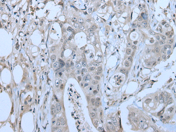
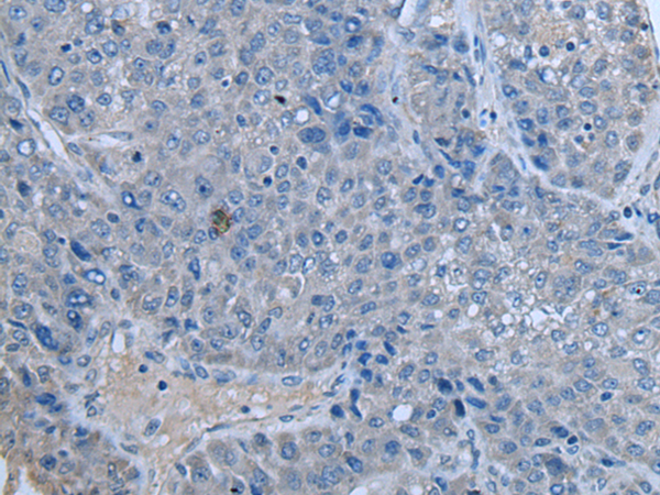
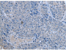
IHC positive control: |
Human lung carcinoma tissue |
|
IHC Recommend dilution: |
50-100 |
|
WB Predicted band size: |
138 kDa |
|
WB Positive control: |
293 cells lysate |
|
WB Recommended dilution: |
500-3000 |

購物車
幫助
021-54845833/15800441009
