|
Background: |
This gene encodes a member of a family of UDP-GalNAc:polypeptide N-acetylgalactosaminyltransferases, which catalyze the transfer of N-acetylgalactosamine (GalNAc) from UDP-GalNAc to a serine or threonine residue on a polypeptide acceptor in the initial step of O-linked protein glycosylation. Mutations in this gene are associated with an increased susceptibility to colorectal cancer. |
|
Applications: |
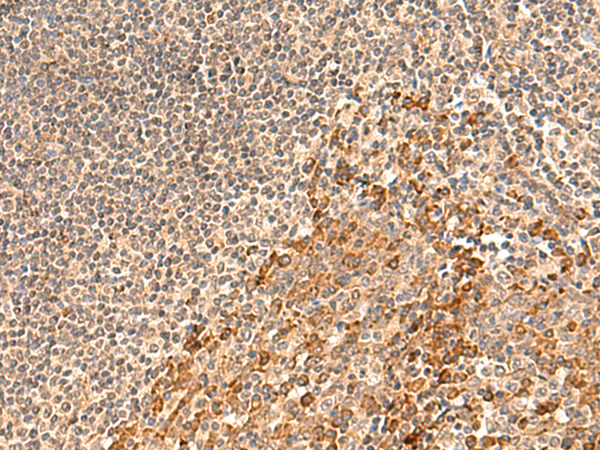
ELISA, IHC |
|
Name of antibody: |
GALNT12 |
|
Immunogen: |
Fusion protein of human GALNT12 |
|
Full name: |
polypeptide N-acetylgalactosaminyltransferase 12 |
|
Synonyms: |
CRCS1; GalNAc-T12 |
|
SwissProt: |
Q8IXK2 |
|
ELISA Recommended dilution: |
5000-10000 |
|
IHC positive control: |
Human tonsil |
|
IHC Recommend dilution: |
50-300 |

購物車
幫助
021-54845833/15800441009
