|
Background: |
This gene encodes a member of the WD repeat protein family. WD repeats are minimally conserved regions of approximately 40 amino acids typically bracketed by gly-his and trp-asp (GH-WD), which may facilitate formation of heterotrimeric or multiprotein complexes. Members of this family are involved in a variety of cellular processes, including cell cycle progression, signal transduction, apoptosis, and gene regulation. |
|
Applications: |
ELISA, IHC |
|
Name of antibody: |
WDR18 |
|
Immunogen: |
Fusion protein of human WDR18 |
|
Full name: |
WD repeat domain 18 |
|
Synonyms: |
Ipi3; R32184_1 |
|
SwissProt: |
Q9BV38 |
|
ELISA Recommended dilution: |
2000-5000 |
|
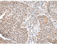
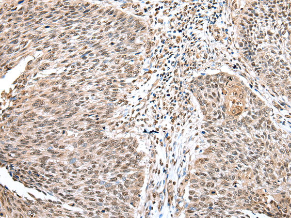
IHC positive control: |
Human liver cancer and Human breast cancer |
|
IHC Recommend dilution: |
25-100 |
購物車
幫助
021-54845833/15800441009
