中文名稱:兔抗BRD3多克隆抗體
|
Background: |
This gene was identified based on its homology to the gene encoding the RING3 protein, a serine/threonine kinase. The gene localizes to 9q34, a region which contains several major histocompatibility complex (MHC) genes. The function of the encoded protein is not known. |
|
Applications: |
ELISA, IHC |
|
Name of antibody: |
BRD3 |
|
Immunogen: |
Synthetic peptide of human BRD3 |
|
Full name: |
bromodomain containing 3 |
|
Synonyms: |
ORFX; RING3L |
|
SwissProt: |
Q15059 |
|
ELISA Recommended dilution: |
5000-10000 |
|
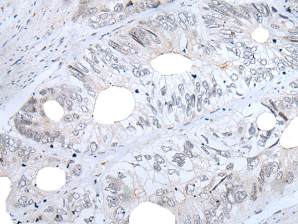
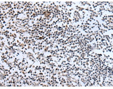
IHC positive control: |
Human tonsil and human colorectal cancer |
|
IHC Recommend dilution: |
10-50 |


購(gòu)物車
幫助
021-54845833/15800441009
