中文名稱:兔抗ARSG多克隆抗體
|
Background: |
The protein encoded by this gene belongs to the sulfatase enzyme family. Sulfatases hydrolyze sulfate esters from sulfated steroids, carbohydrates, proteoglycans, and glycolipids. They are involved in hormone biosynthesis, modulation of cell signaling, and degradation of macromolecules. This protein displays arylsulfatase activity at acidic pH, as is typical of lysosomal sulfatases, and has been shown to localize in the lysosomes. Alternatively spliced transcript variants have been found for this gene. |
|
Applications: |
ELISA, IHC |
|
Name of antibody: |
ARSG |
|
Immunogen: |
Fusion protein of human ARSG |
|
Full name: |
arylsulfatase G |
|
SwissProt: |
Q96EG1 |
|
ELISA Recommended dilution: |
1000-5000 |
|
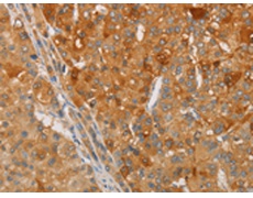
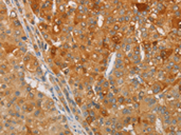
IHC positive control: |
Human liver cancer and Human gastric cancer |
|
IHC Recommend dilution: |
50-200 |
購物車
幫助
021-54845833/15800441009
