|
Background: |
This gene encodes a protein containing four putative zinc finger motifs. Zinc finger motifs may bind to proteins or nucleic acids. Zinc finger-containing proteins are involved in a variety of processes, including regulation of transcription. Alternative splicing results in multiple transcript variants for this gene. |
|
Applications: |
ELISA, IHC |
|
Name of antibody: |
ZNF512 |
|
Immunogen: |
Fusion protein of human ZNF512 |
|
Full name: |
zinc finger protein 512 |
|
SwissProt: |
Q96ME7 |
|
ELISA Recommended dilution: |
5000-10000 |
|
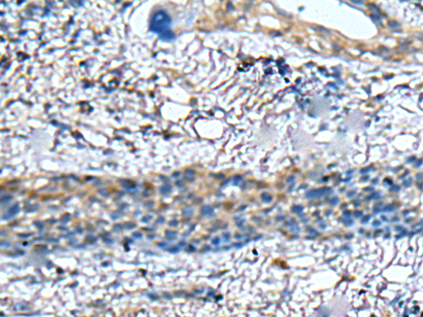
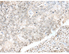
IHC positive control: |
Human colorectal cancer and human cervical cancer |
|
IHC Recommend dilution: |
25-100 |

購(gòu)物車
幫助
021-54845833/15800441009
