中文名稱:兔抗C9orf89多克隆抗體
|
Background: |
Plays a role in inhibiting the effects of BCL10-induced activation of NF-kappa-B. May inhibit the phosphorylation of BCL10 in a CARD-dependent manner. |
|
Applications: |
IHC |
|
Name of antibody: |
C9orf89 |
|
Immunogen: |
Synthesized peptide derived from internal of human C9orf89. |
|
Full name: |
chromosome 9 open reading frame 89 |
|
Synonyms: |
BinCARD; bA370F5.1 |
|
SwissProt: |
Q96LW7 |
|
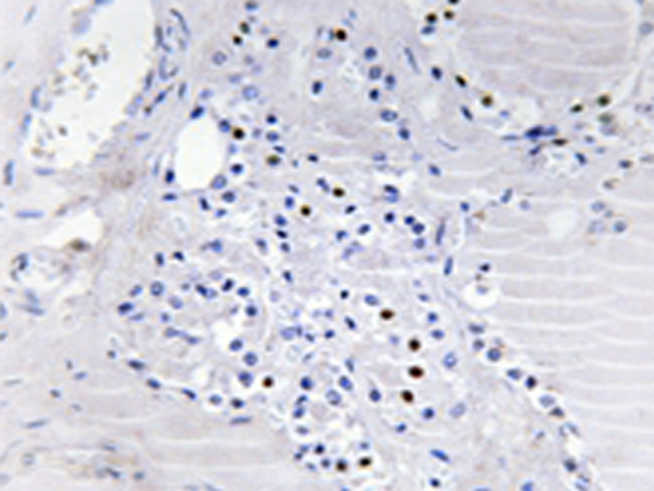
IHC positive control: |
Human thyroi glan tissue |
|
IHC Recommend dilution: |
50-100 |

購物車
幫助
021-54845833/15800441009
