中文名稱:兔抗BTK(Ab-222) 多克隆抗體
|
Background: |
The protein encoded by this gene plays a crucial role in B-cell development. Mutations in this gene cause X-linked agammaglobulinemia type 1, which is an immunodeficiency characterized by the failure to produce mature B lymphocytes, and associated with a failure of Ig heavy chain rearrangement. Alternative splicing results in multiple transcript variants encoding different isoforms. |
|
Applications: |
WB, IHC |
|
Name of antibody: |
BTK(Ab-222) |
|
Immunogen: |
Synthesized non-phosphopeptide derived from human BTK around the phosphorylation site of tyrosine 222 (A-L-Y(p)-D-Y). |
|
Full name: |
Bruton agammaglobulinemia tyrosine kinase |
|
Synonyms: |
AT; ATK; BPK; XLA; IMD1; AGMX1; PSCTK1 |
|
SwissProt: |
Q06187 |
|
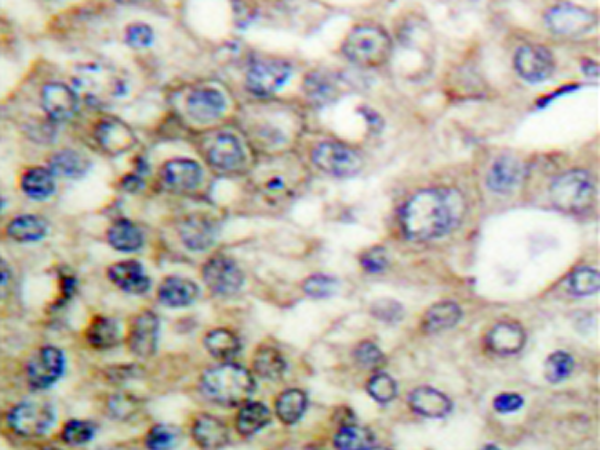
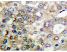
IHC positive control: |
Human breast carcinoma tissue |
|
IHC Recommend dilution: |
50-100 |
|
WB Predicted band size: |
76 kDa |
|
WB Positive control: |
Hela cells lysate |
|
WB Recommended dilution: |
500-3000 |


購物車
幫助
021-54845833/15800441009
