|
Background: |
ERP44 is a 406 amino acid protein that contains one thioredoxin domain, a motif that participates in various redox reactions throughout the cell. Localized to the lumen of the endoplasmic reticulum (ER), TXNDC4 functions to inhibit the activity of IP3R-I (inositol 1,4,5-triphosphate receptor,type 1) within calcium channels. In addition, TXNDC4 is thought to regulate oxidative protein folding within the ER and may be involved in retaining proteins. |
|
Applications: |
ELISA, WB, IHC |
|
Name of antibody: |
ERP44 |
|
Immunogen: |
Synthetic peptide of humanERP44 |
|
Full name: |
endoplasmic reticulum protein 44 |
|
Synonyms: |
PDIA10; TXNDC4 |
|
SwissProt: |
Q9BS26 |
|
ELISA Recommended dilution: |
2000-5000 |
|
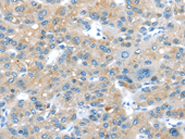
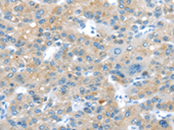
IHC positive control: |
Human liver cancer and Human colorectal cancer |
|
IHC Recommend dilution: |
25-100 |
|
WB Predicted band size: |
47 kDa |
|
WB Positive control: |
A431, K562, 231, HepG2, Hela, A549 and Raji cells |
|
WB Recommended dilution: |
500-2000 |

購(gòu)物車
幫助
021-54845833/15800441009
