宿 主: Rabbit
|
Background: |
Integrins are heterodimers comprised of alpha and beta subunits, that are noncovalently associated transmembrane glycoprotein receptors. Different combinations of alpha and beta polypeptides form complexes that vary in their ligand-binding specificities. Integrins mediate cell-matrix or cell-cell adhesion, and transduced signals that regulate gene expression and cell growth. This gene encodes the integrin beta 4 subunit, a receptor for the laminins. |
|
Applications: |
WB, IHC |
|
Name of antibody: |
ITGB4(Ab-1510) |
|
Immunogen: |
Synthesized non-phosphopeptide derived from human ITGB4 around the phosphorylation site of tyrosine 1510 (R-D-Y(p)-S-T). |
|
Full name: |
integrin, beta 4 |
|
Synonyms: |
CD104 |
|
SwissProt: |
P16144 |
|
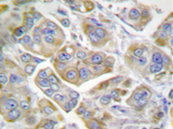
IHC positive control: |
Human breast carcinoma tissue |
|
IHC Recommend dilution: |
50-100 |
|
WB Predicted band size: |
202 kDa |
|
WB Positive control: |
HepG2 cells treated with PMA (125ng/ml, 30mins) lysate |
|
WB Recommended dilution: |
500-3000 |


購物車
幫助
021-54845833/15800441009
