中文名稱:兔抗CLINT1多克隆抗體
|
Background: |
This gene encodes a protein with similarity to the epsin family of endocytic adapter proteins. The encoded protein interacts with clathrin, the adapter protein AP-1 and phosphoinositides. This protein may be involved in the formation of clathrin coated vesicles and trafficking between the trans-Golgi network and endosomes. Mutations in this gene are associated with a susceptibility to schizophrenia and psychotic disorders. Alternate splicing results in multiple transcript variants. |
|
Applications: |
ELISA, IHC |
|
Name of antibody: |
CLINT1 |
|
Immunogen: |
Fusion protein of human CLINT1 |
|
Full name: |
clathrin interactor 1 |
|
Synonyms: |
ENTH; EPN4; EPNR; CLINT |
|
SwissProt: |
Q14677 |
|
ELISA Recommended dilution: |
5000-10000 |
|
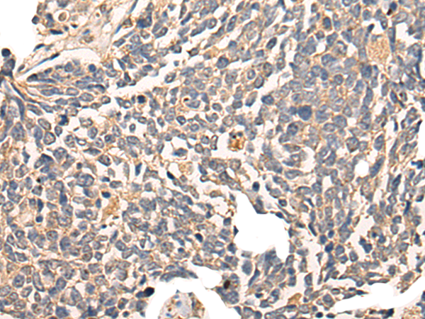
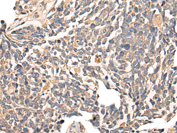
IHC positive control: |
Human lung cancer |
|
IHC Recommend dilution: |
25-100 |
購物車
幫助
021-54845833/15800441009
