中文名稱:兔抗AP1S3多克隆抗體
|
Background: |
This gene encodes a member of the adaptor-related protein complex 1, sigma subunit genes. The encoded protein is a component of adaptor protein complex 1 (AP-1), one of the AP complexes involved in claathrin-mediated vesicular transport from the Golgi or endosomes. Disruption of the pathway for display of HIV-1 antigens, which prevents recognition of the virus by cytotoxic T cells, has been shown to involve the AP-1 complex (PMID: 15569716). Alternative splicing results in multiple transcript variants. |
|
Applications: |
ELISA, IHC |
|
Name of antibody: |
AP1S3 |
|
Immunogen: |
Fusion protein of human AP1S3 |
|
Full name: |
adaptor related protein complex 1 subunit sigma 3 |
|
Synonyms: |
PSORS15 |
|
SwissProt: |
Q96PC3 |
|
ELISA Recommended dilution: |
5000-10000 |
|
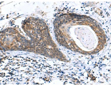
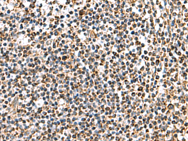
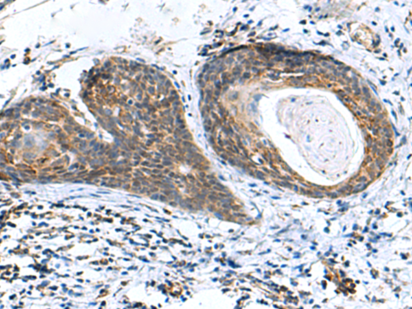
IHC positive control: |
Human esophagus cancer and Human tonsil |
|
IHC Recommend dilution: |
100-300 |
購物車
幫助
021-54845833/15800441009
