中文名稱: 兔抗MECR多克隆抗體
|
Background: |
The protein encoded by this gene is an oxidoreductase that catalyzes the last step in mitochondrial fatty acid synthesis. Defects in this gene are a cause of childhood-onset dystonia and optic atrophy. |
|
Applications: |
ELISA, WB, IHC |
|
Name of antibody: |
MECR |
|
Immunogen: |
Fusion protein of human MECR |
|
Full name: |
mitochondrial trans-2-enoyl-CoA reductase |
|
Synonyms: |
ETR1; NRBF1; CGI-63; FASN2B; DYTOABG |
|
SwissProt: |
Q9BV79 |
|
ELISA Recommended dilution: |
5000-10000 |
|
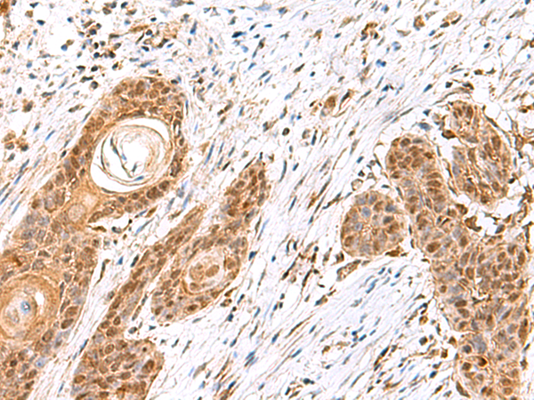
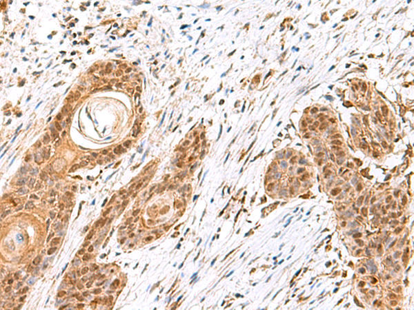
IHC positive control: |
Human breast cancer |
|
IHC Recommend dilution: |
50-300 |
|
WB Predicted band size: |
40 kDa |
|
WB Positive control: |
Human fetal brain tissue lysate |
|
WB Recommended dilution: |
1000-5000 |
購物車
幫助
021-54845833/15800441009
