英文名稱: Anti-ITGB3 rabbit polyclonal antibody
別 名: GT; CD61; GP3A; BDPLT2; GPIIIa; BDPLT16
宿 主: Rabbit
相關(guān)類別: 一抗
|
Background: |
The ITGB3 protein product is the integrin beta chain beta 3. Integrins are integral cell-surface proteins composed of an alpha chain and a beta chain. A given chain may combine with multiple partners resulting in different integrins. Integrin beta 3 is found along with the alpha IIb chain in platelets. Integrins are known to participate in cell adhesion as well as cell-surface mediated signalling. |
|
Applications: |
ELISA, WB, IHC |
|
Name of antibody: |
ITGB3 |
|
Immunogen: |
Fusion protein of human ITGB3 |
|
Full name: |
integrin subunit beta 3 |
|
Synonyms: |
GT; CD61; GP3A; BDPLT2; GPIIIa; BDPLT16 |
|
SwissProt: |
P05106 |
|
ELISA Recommended dilution: |
5000-10000 |
|
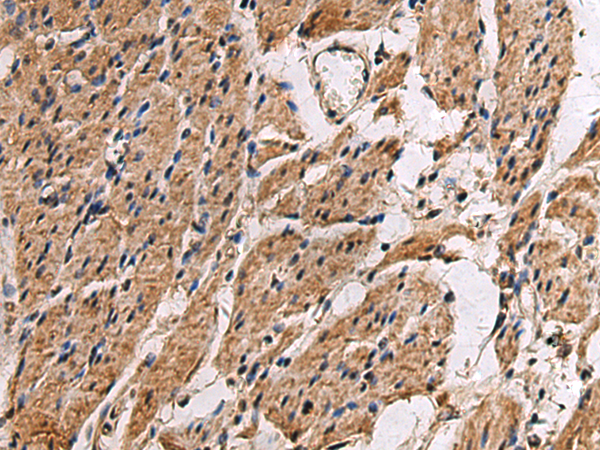
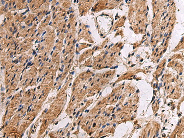
IHC positive control: |
Human esophagus cancer |
|
IHC Recommend dilution: |
50-100 |
|
WB Predicted band size: |
87 kDa |
|
WB Positive control: |
Human placenta tissue and HUVEC cell lysates |
|
WB Recommended dilution: |
500-2000 |


購物車
幫助
021-54845833/15800441009
