|
Background: |
The dystrophin gene is the largest gene found in nature, measuring 2.4 Mb. The gene was identified through a positional cloning approach, targeted at the isolation of the gene responsible for Duchenne (DMD) and Becker (BMD) Muscular Dystrophies. DMD is a recessive, fatal, X-linked disorder occurring at a frequency of about 1 in 3,500 new-born males. BMD is a milder allelic form. In general, DMD patients carry mutations which cause premature translation termination (nonsense or frame shift mutations), while in BMD patients dystrophin is reduced either in molecular weight (derived from in-frame deletions) or in expression level. |
|
Applications: |
ELISA, IHC |
|
Name of antibody: |
DMD |
|
Immunogen: |
Fusion protein of human DMD |
|
Full name: |
dystrophin |
|
Synonyms: |
BMD; CMD3B; MRX85; DXS142; DXS164; DXS206; DXS230; DXS239; DXS268; DXS269; DXS270; DXS272 |
|
SwissProt: |
P11532 |
|
ELISA Recommended dilution: |
1000-2000 |
|
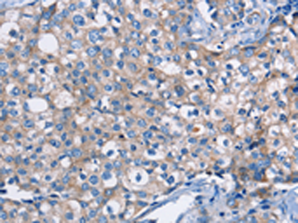
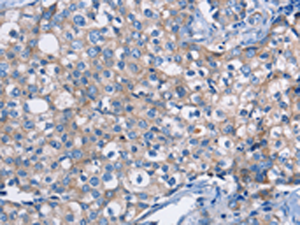
IHC positive control: |
Human breast cancer and Human brain |
|
IHC Recommend dilution: |
25-100 |
購物車
幫助
021-54845833/15800441009
