中文名稱:兔抗ARSE多克隆抗體
|
Background: |
Arylsulfatase E is a member of the sulfatase family. It is glycosylated postranslationally and localized to the golgi apparatus. Sulfatases are essential for the correct composition of bone and cartilage matrix. X-linked chondrodysplasia punctata, a disease characterized by abnormalities in cartilage and bone development, has been linked to mutations in this gene. Alternative splicing results in multiple transcript variants. A pseudogene related to this gene is located on the Y chromosome. |
|
Applications: |
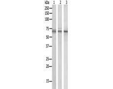
WB |
|
Name of antibody: |
ARSE |
|
Immunogen: |
Synthesized peptide derived from Internal of human ARSE. |
|
Full name: |
arylsulfatase E (chondrodysplasia punctata 1) |
|
Synonyms: |
ASE; CDPX; CDPX1; CDPXR |
|
SwissProt: |
P51690 |
|
WB Predicted band size: |
66 kDa |
|
WB Positive control: |
K562, 293 and Jurkat cells lysates |
|
WB Recommended dilution: |
500-3000 |
購物車
幫助
021-54845833/15800441009
