|
Background: |
Potassium channels represent the most complex class of voltage-gated ion channels from both functional and structural standpoints. Their diverse functions include regulating neurotransmitter release, heart rate, insulin secretion, neuronal excitability, epithelial electrolyte transport, smooth muscle contraction, and cell volume. Four sequence-related potassium channel genes - shaker, shaw, shab, and shal - have been identified in Drosophila, and each has been shown to have human homolog(s). This gene encodes a member of the potassium channel, voltage-gated, shaker-related subfamily. This member contains six membrane-spanning domains with a shaker-type repeat in the fourth segment. It belongs to the delayed rectifier class, members of which allow nerve cells to efficiently repolarize following an action potential. It plays an essential role in T-cell proliferation and activation. This gene appears to be intronless and it is clustered together with KCNA2 and KCNA10 genes on chromosome 1. |
|
Applications: |
ELISA, IHC |
|
Name of antibody: |
KCNA3 |
|
Immunogen: |
Synthetic peptide of human KCNA3 |
|
Full name: |
potassium channel, voltage gated shaker related subfamily A, member 3 |
|
Synonyms: |
MK3; HGK5; HLK3; PCN3; HPCN3; KV1.3; HUKIII |
|
SwissProt: |
P22001 |
|
ELISA Recommended dilution: |
5000-10000 |
|
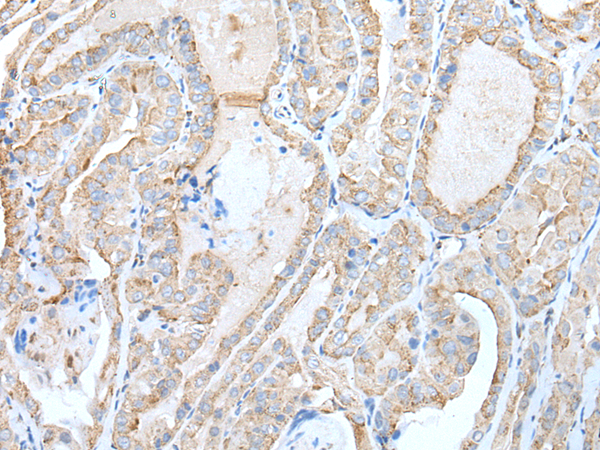
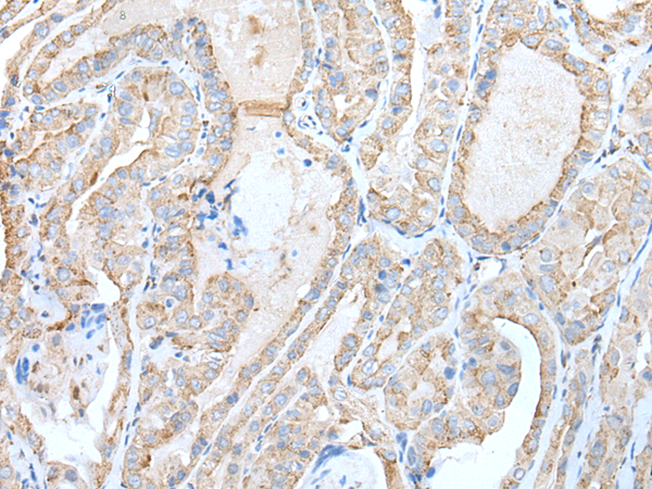
IHC positive control: |
Human thyroid cancer |
|
IHC Recommend dilution: |
25-100 |

購物車
幫助
021-54845833/15800441009
