|
Background: |
This gene encodes a member of the sorting nexin family. Members of this family contain a phox (PX) domain, which is a phosphoinositide binding domain, and are involved in intracellular trafficking. This protein associates with the long isoform of the leptin receptor, the transforming growth factor-beta family of receptor serine-threonine kinases, and with receptor tyrosine kinases for platelet-derived growth factor, insulin, and epidermal growth factor. This protein may form oligomeric complexes with family member proteins through interactions of both the PX domain and the coiled coil regions of the molecules. Translocation of this protein from the cytoplasm to the nucleus occurs after binding to proviral integration site 1 protein. This gene results in two transcripts encoding two distinct isoforms. |
|
Applications: |
ELISA, IHC |
|
Name of antibody: |
SNX6 |
|
Immunogen: |
Synthetic peptide of human SNX6 |
|
Full name: |
sorting nexin 6 |
|
Synonyms: |
TFAF2; MSTP010 |
|
SwissProt: |
Q9UNH7 |
|
ELISA Recommended dilution: |
5000-10000 |
|
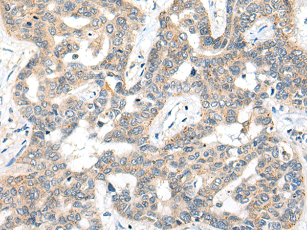
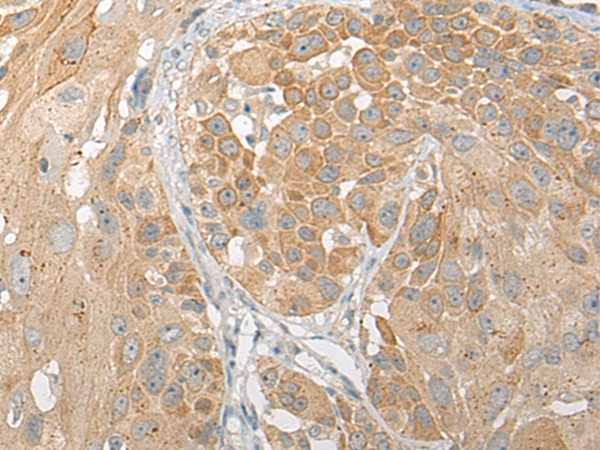
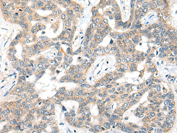
IHC positive control: |
Human esophagus cancer; Human liver cancer |
|
IHC Recommend dilution: |
50-300 |

購物車
幫助
021-54845833/15800441009
