|
Background: |
This gene encodes a component of the six subunit elongator complex, a histone acetyltransferase complex that associates directly with RNA polymerase II during transcriptional elongation. The human gene can partially complement sensitivity phenotypes of yeast ELP4 deletion mutants. This gene has also been associated with Rolandic epilepsy. Alternative splicing results in multiple transcript variants. |
|
Applications: |
ELISA, IHC |
|
Name of antibody: |
ELP4 |
|
Immunogen: |
Synthetic peptide of human ELP4 |
|
Full name: |
elongator acetyltransferase complex subunit 4 |
|
Synonyms: |
AN; AN2; hELP4; PAXNEB; PAX6NEB; C11orf19; dJ68P15A.1 |
|
SwissProt: |
Q96EB1 |
|
ELISA Recommended dilution: |
5000-10000 |
|
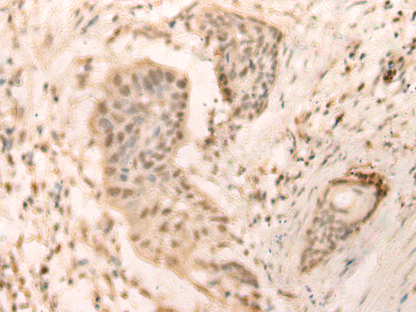
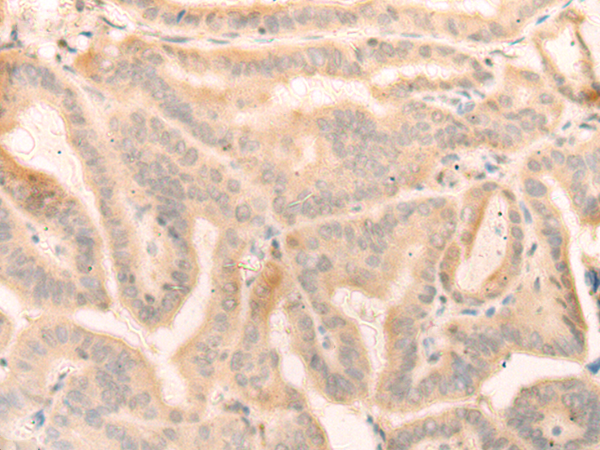
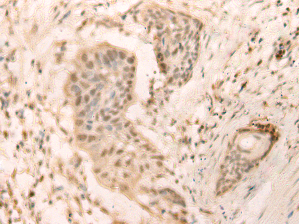
IHC positive control: |
Human thyroid cancer and Human esophagus cancer |
|
IHC Recommend dilution: |
30-150 |

購物車
幫助
021-54845833/15800441009
