別 名: CD119; IFNGR; IMD27A; IMD27B
標 記 物: Unconjugate
|
WB Recommended dilution: |
200-1000 |
|
WB Positive control: |
Human lung tissue and HEPG2 cell lysates |
|
WB Predicted band size: |
54 kDa |
|
IHC Recommend dilution: |
10-50 |
|
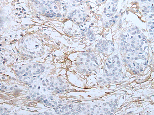
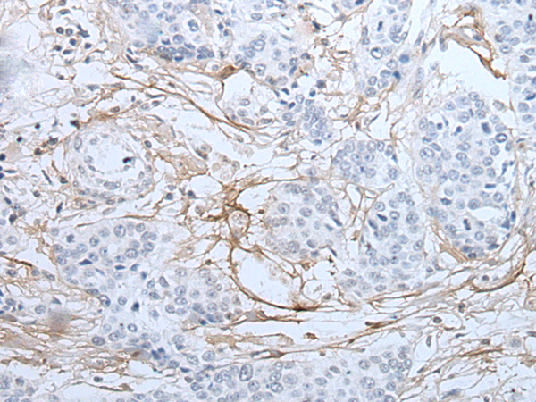
IHC positive control: |
Human prostate cancer |
|
ELISA Recommended dilution: |
5000-10000 |
|
SwissProt: |
P15260 |
|
Synonyms: |
CD119; IFNGR; IMD27A; IMD27B |
|
Full name: |
interferon gamma receptor 1 |
|
Immunogen: |
Synthetic peptide of human IFNGR1 |
|
Name of antibody: |
IFNGR1 |
|
Applications: |
ELISA, WB, IHC |
|
Background: |
This gene (IFNGR1) encodes the ligand-binding chain (alpha) of the gamma interferon receptor. Human interferon-gamma receptor is a heterodimer of IFNGR1 and IFNGR2. A genetic variation in IFNGR1 is associated with susceptibility to Helicobacter pylori infection. In addition, defects in IFNGR1 are a cause of mendelian susceptibility to mycobacterial disease, also known as familial disseminated atypical mycobacterial infection. |


購物車
幫助
021-54845833/15800441009
