|
Background: |
The protein encoded by this gene is a plus end-directed motor required for normal mitotic progression. The encoded protein is required for normal spindle activity during mitosis and is necessary for normal brain development. Several transcript variants encoding different isoforms have been found for this gene. |
|
Applications: |
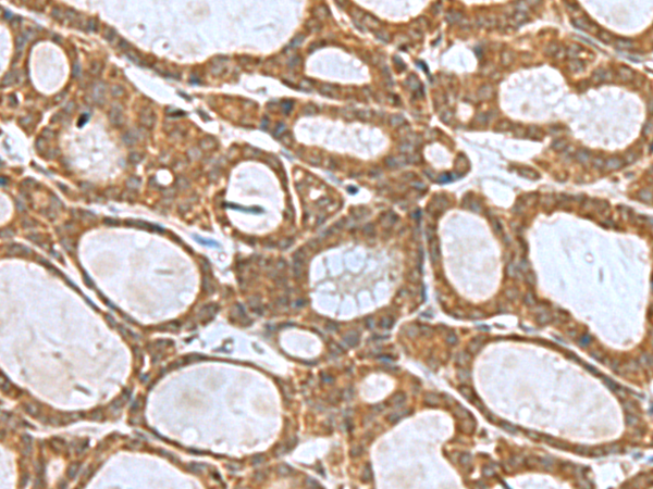
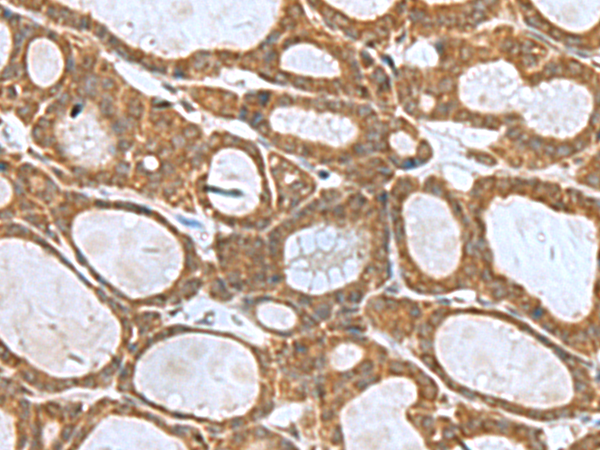
ELISA, IHC |
|
Name of antibody: |
KIF2A |
|
Immunogen: |
Fusion protein of human KIF2A |
|
Full name: |
kinesin family member 2A |
|
Synonyms: |
HK2; KIF2; CDCBM3 |
|
SwissProt: |
O00139 |
|
ELISA Recommended dilution: |
5000-10000 |
|
IHC positive control: |
Human thyroid cancer |
|
IHC Recommend dilution: |
50-200 |

購物車
幫助
021-54845833/15800441009
