|
Background: |
This gene encodes a nucleolar protein with a LIS1 homology domain. The protein is involved in ribosomal DNA gene transcription through its interaction with upstream binding factor (UBF). Mutations in this gene have been associated with Treacher Collins syndrome, a disorder which includes abnormal craniofacial development. Multiple transcript variants encoding different isoforms have been found for this gene. |
|
Applications: |
ELISA, IHC |
|
Name of antibody: |
TCOF1 |
|
Immunogen: |
Fusion protein of human TCOF1 |
|
Full name: |
treacle ribosome biogenesis factor 1 |
|
Synonyms: |
TCS; MFD1; TCS1; treacle |
|
SwissProt: |
Q13428 |
|
ELISA Recommended dilution: |
5000-10000 |
|
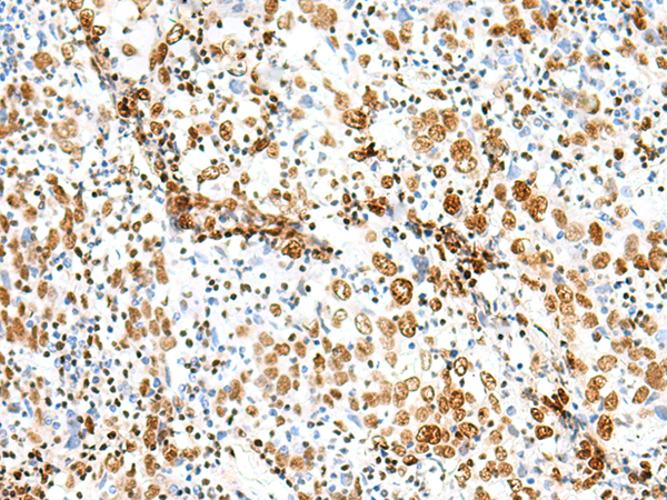
IHC positive control: |
Human cervical cancer and Human thyroid cancer |
|
IHC Recommend dilution: |
40-200 |

購物車
幫助
021-54845833/15800441009
