中文名稱:兔抗CA6多克隆抗體
|
Background: |
The protein encoded by this gene is one of several isozymes of carbonic anhydrase. This protein is found only in salivary glands and saliva and protein may play a role in the reversible hydratation of carbon dioxide though its function in saliva is unknown. |
|
Applications: |
ELISA, IHC |
|
Name of antibody: |
CA6 |
|
Immunogen: |
Fusion protein of human CA6 |
|
Full name: |
carbonic anhydrase 6 |
|
Synonyms: |
CA-VI; GUSTIN |
|
SwissProt: |
P23280 |
|
ELISA Recommended dilution: |
5000-10000 |
|
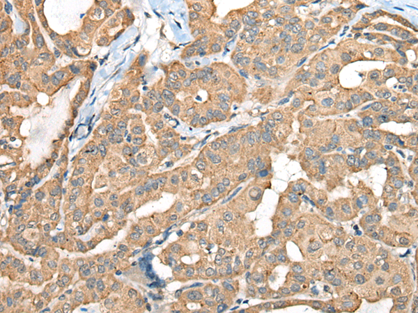
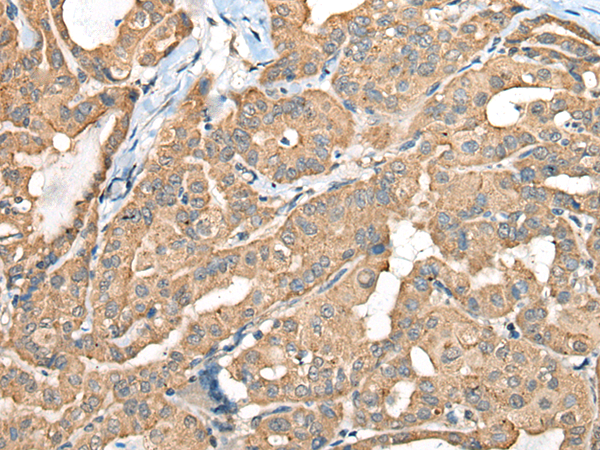
IHC positive control: |
Human thyroid cancer |
|
IHC Recommend dilution: |
40-200 |

購物車
幫助
021-54845833/15800441009
