中文名稱:兔抗BCAR1(Ab-410)多克隆抗體
|
Background: |
BCAR1, or CAS, is an Src (MIM 190090) family kinase substrate involved in various cellular events, including migration, survival, transformation, and invasion. Docking protein which plays a central coordinating role for tyrosine kinase-based signaling related to cell adhesion. Implicated in induction of cell migration. Overexpression confers antiestrogen resistance on breast cancer cells. |
|
Applications: |
WB, IHC |
|
Name of antibody: |
BCAR1(Ab-410) |
|
Immunogen: |
Synthesized non-phosphopeptide derived from human p130 Cas around the phosphorylation site of tyrosine 410 (G-V-T-A-V). |
|
Full name: |
breast cancer anti-estrogen resistance 1 |
|
Synonyms: |
CAS; CAS1; CASS1; CRKAS; P130Cas |
|
SwissProt: |
P56945 |
|
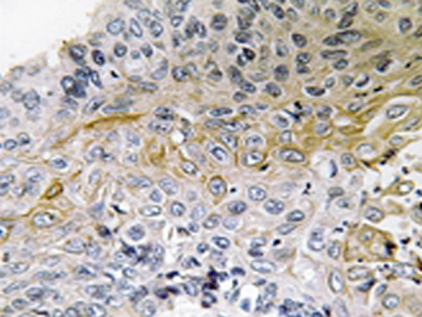
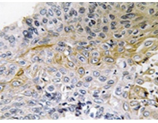
IHC positive control: |
Human breast carcinoma tissue |
|
IHC Recommend dilution: |
50-100 |
|
WB Predicted band size: |
93 kDa |
|
WB Positive control: |
NIH/3T3 cells lysate |
|
WB Recommended dilution: |
500-3000 |


購(gòu)物車
幫助
021-54845833/15800441009
