|
Background: |
This gene encodes a member of a family of cysteine- and proline-rich proteins. The encoded protein is an inhibitor of the receptor-transduced mitogen-activated protein kinase (MAPK) signaling pathway. Activity of this protein impairs the formation of active GTP-RAS. Nucleotide variation in this gene has been associated with hypogonadotropic hypogonadism 17 with or without anosmia. Alternative splicing results in a multiple transcript variants. |
|
Applications: |
ELISA, WB, IHC |
|
Name of antibody: |
SPRY4 |
|
Immunogen: |
Full length fusion protein |
|
Full name: |
sprouty RTK signaling antagonist 4 |
|
Synonyms: |
HH17 |
|
SwissProt: |
Q9C004 |
|
ELISA Recommended dilution: |
5000-10000 |
|
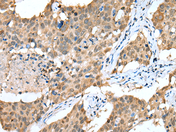
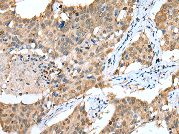
IHC positive control: |
Human lung cancer |
|
IHC Recommend dilution: |
25-100 |
|
WB Predicted band size: |
33 kDa |
|
WB Positive control: |
K562,A375 and 231 cell |
|
WB Recommended dilution: |
500-2000 |

購(gòu)物車
幫助
021-54845833/15800441009
