中文名稱:兔抗ASIC3多克隆抗體
|
Background: |
This gene encodes a member of the degenerin/epithelial sodium channel (DEG/ENaC) superfamily. The members of this family are amiloride-sensitive sodium channels that contain intracellular N and C termini, two hydrophobic transmembrane regions, and a large extracellular loop, which has many cysteine residues with conserved spacing. The member encoded by this gene is an acid sensor and may play an important role in the detection of lasting pH changes. In addition, a heteromeric association between this member and acid-sensing (proton-gated) ion channel 2 has been observed as proton-gated channels sensitive to gadolinium. Alternatively spliced transcript variants have been described. |
|
Applications: |
ELISA, IHC |
|
Name of antibody: |
ASIC3 |
|
Immunogen: |
Synthetic peptide of human ASIC3 |
|
Full name: |
acid sensing (proton gated) ion channel 3 |
|
Synonyms: |
ACCN3; TNaC1; DRASIC; SLNAC1 |
|
SwissProt: |
Q9UHC3 |
|
ELISA Recommended dilution: |
2000-10000 |
|
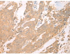
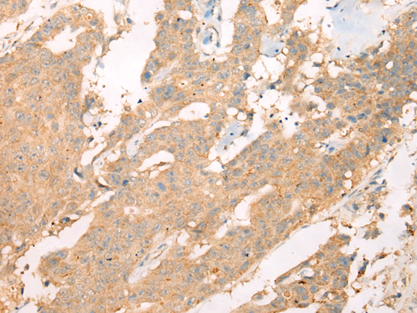
IHC positive control: |
Human colorectal cancer |
|
IHC Recommend dilution: |
30-150 |
購物車
幫助
021-54845833/15800441009
