中文名稱: 兔抗TSG101多克隆抗體
|
Background: |
The protein encoded by this gene belongs to a group of apparently inactive homologs of ubiquitin-conjugating enzymes. The gene product contains a coiled-coil domain that interacts with stathmin, a cytosolic phosphoprotein implicated in tumorigenesis. The protein may play a role in cell growth and differentiation and act as a negative growth regulator. In vitro steady-state expression of this tumor susceptibility gene appears to be important for maintenance of genomic stability and cell cycle regulation. Mutations and alternative splicing in this gene occur in high frequency in breast cancer and suggest that defects occur during breast cancer tumorigenesis and/or progression. |
|
Applications: |
ELISA, IHC |
|
Name of antibody: |
TSG101 |
|
Immunogen: |
Fusion protein of human TSG101 |
|
Full name: |
tumor susceptibility 101 |
|
Synonyms: |
TSG10; VPS23 |
|
SwissProt: |
Q99816 |
|
ELISA Recommended dilution: |
5000-10000 |
|
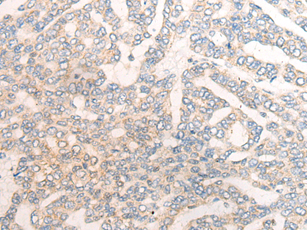
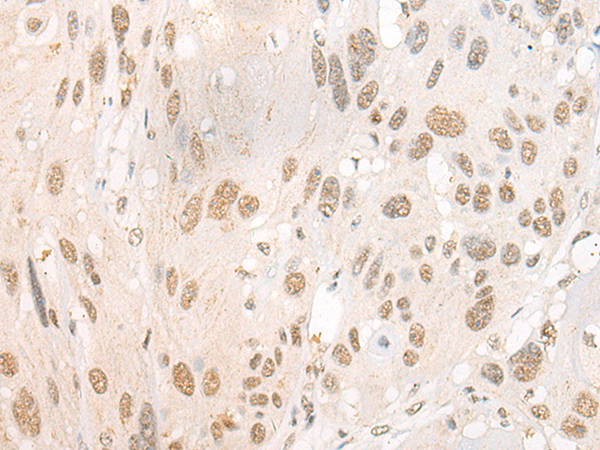
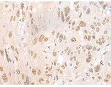
IHC positive control: |
Human liver cancer and Human esophagus cancer |
|
IHC Recommend dilution: |
20-100 |


購物車
幫助
021-54845833/15800441009
