|
Background: |
Sarcomere assembly is regulated by the muscle protein titin. Titin is a giant elastic protein with kinase activity that extends half the length of a sarcomere. It serves as a scaffold to which myofibrils and other muscle related proteins are attached. This gene encodes a protein found in striated and cardiac muscle that binds to the titin Z1-Z2 domains and is a substrate of titin kinase, interactions thought to be critical to sarcomere assembly. Mutations in this gene are associated with limb-girdle muscular dystrophy type 2G. |
|
Applications: |
ELISA, IHC |
|
Name of antibody: |
TCAP |
|
Immunogen: |
Fusion protein of human TCAP |
|
Full name: |
titin-cap |
|
Synonyms: |
TELE; CMD1N; CMH25; T-cap; LGMD2G; LGMDR7; telethonin |
|
SwissProt: |
O15273 |
|
ELISA Recommended dilution: |
5000-10000 |
|
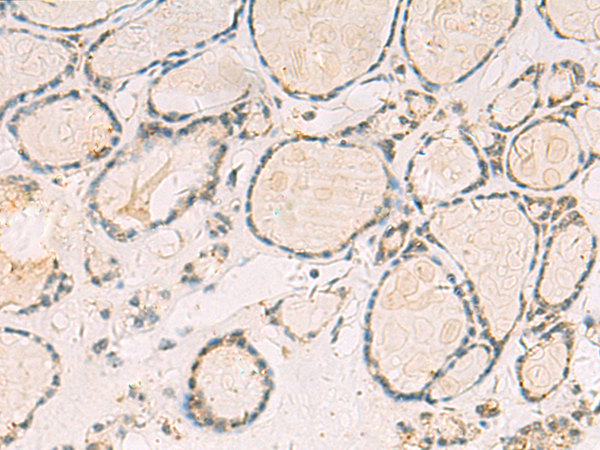
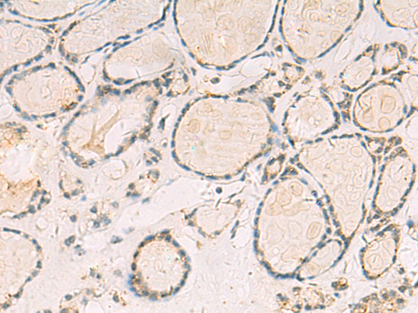
IHC positive control: |
Human tonsil and Human thyroid cancer |
|
IHC Recommend dilution: |
50-200 |

購物車
幫助
021-54845833/15800441009
