|
Background: |
This gene is a member of the P-type cation transport ATPase family and encodes a protein with several membrane-spanning domains, an ATPase consensus sequence, a hinge domain, a phosphorylation site, and at least 2 putative copper-binding sites. This protein functions as a monomer, exporting copper out of the cells, such as the efflux of hepatic copper into the bile. Alternate transcriptional splice variants, encoding different isoforms with distinct cellular localizations, have been characterized. Mutations in this gene have been associated with Wilson disease (WD). |
|
Applications: |
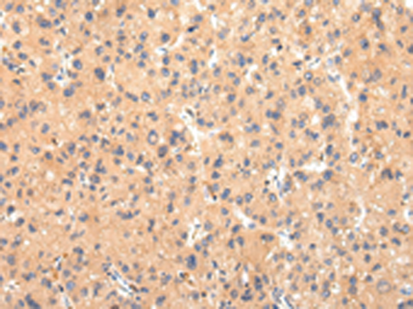
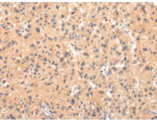
ELISA, IHC |
|
Name of antibody: |
ATP7B |
|
Immunogen: |
Synthetic peptide of human ATP7B |
|
Full name: |
ATPase, Cu++ transporting, beta polypeptide |
|
Synonyms: |
WD; PWD; WC1; WND |
|
SwissProt: |
P35670 |
|
ELISA Recommended dilution: |
2000-5000 |
|
IHC positive control: |
Human liver cancer and Human esophagus cancer |
|
IHC Recommend dilution: |
25-100 |

購(gòu)物車
幫助
021-54845833/15800441009
