中文名稱:兔抗BPIFB1多克隆抗體
|
Background: |
The protein encoded by this gene may be involved in the innate immune response to bacterial exposure in the mouth, nasal cavities, and lungs. The encoded protein is secreted and is a member of the BPI/LBP/PLUNC protein superfamily. This gene is found with other members of the superfamily in a cluster on chromosome 20. |
|
Applications: |
ELISA, IHC |
|
Name of antibody: |
BPIFB1 |
|
Immunogen: |
Fusion protein of human BPIFB1 |
|
Full name: |
BPI fold containing family B member 1 |
|
Synonyms: |
LPLUNC1; C20orf114 |
|
SwissProt: |
Q8TDL5 |
|
ELISA Recommended dilution: |
5000-10000 |
|
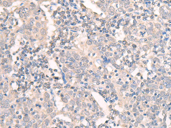
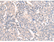
IHC positive control: |
Human cervical cancer |
|
IHC Recommend dilution: |
30-150 |

購物車
幫助
021-54845833/15800441009
