中文名稱:兔抗BPIFB2多克隆抗體
|
Background: |
This gene encodes a member of the lipid transfer/lipopolysaccharide binding protein (LT/LBP) gene family. It is highly expressed in hypertrophic tonsils. This gene and three other members of the LT/LBP gene family form a cluster on the long arm of chromosome 20. |
|
Applications: |
ELISA, IHC |
|
Name of antibody: |
BPIFB2 |
|
Immunogen: |
Synthetic peptide of human BPIFB2 |
|
Full name: |
BPI fold containing family B, member 2 |
|
Synonyms: |
RYSR, BPIL1, LPLUNC2, C20orf184, dJ726C3.2 |
|
SwissProt: |
Q8N4F0 |
|
ELISA Recommended dilution: |
1000-5000 |
|
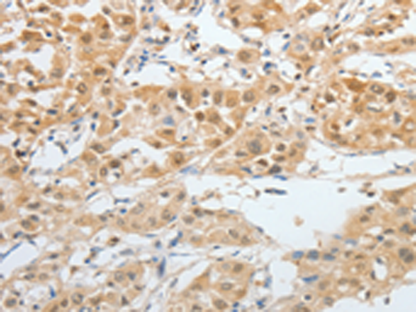
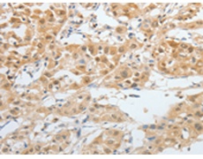
IHC positive control: |
Human liver cancer and Human lung cancer |
|
IHC Recommend dilution: |
50-200 |

購物車
幫助
021-54845833/15800441009
