|
Background: |
This gene encodes a protein that functions as a molecular scaffold, linking receptors, including group 1 metabotropic glutamate receptors, to neuronal proteins. The encoded protein contains conserved domains, including a leucine zipper sequence, PDZ domain and a C-terminal PDZ-binding motif. Alternately spliced transcript variants have been observed for this gene. |
|
Applications: |
ELISA, IHC |
|
Name of antibody: |
GRASP |
|
Immunogen: |
Synthetic peptide of human GRASP |
|
Full name: |
general receptor for phosphoinositides 1 associated scaffold protein |
|
Synonyms: |
TAMALIN |
|
SwissProt: |
Q7Z6J2 |
|
ELISA Recommended dilution: |
5000-10000 |
|
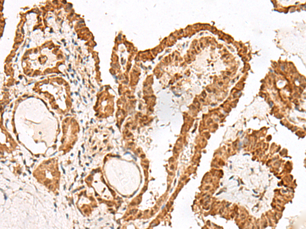
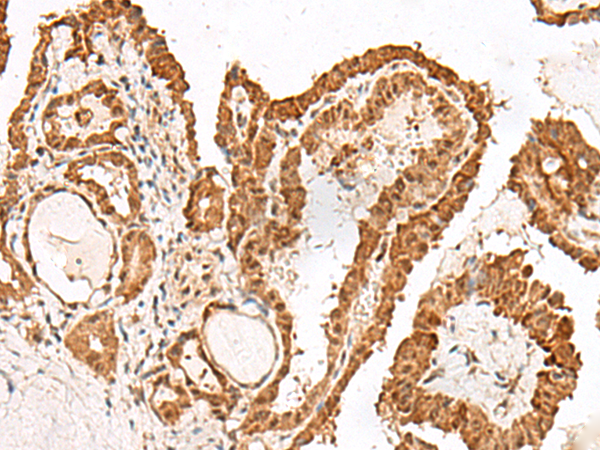
IHC positive control: |
Human esophagus cancer and Human thyroid cancer |
|
IHC Recommend dilution: |
50-300 |

購物車
幫助
021-54845833/15800441009
