Background:
This gene encodes a member of the GRB2/Sem5/Drk family and functions as a cytoplasmic signaling protein which contains an SH2 domain flanked by two SH3 domains. The SH2 domain interacts with ligand-activated receptors for stem cell factor and erythropoietin, and facilitates the formation of a stable complex with the BCR-ABL oncoprotein. This protein also associates with the Ras guanine nucleotide exchange factor SOS1 (son of sevenless homolog 1) through its N-terminal SH3 domain. In general, it couples signals from receptor and cytoplasmic tyrosine kinases to the Ras signaling pathway.
Applications:
ELISA, IHC
Name of antibody:
GRAP
Immunogen:
Full length fusion protein
Full name:
GRB2-related adaptor protein
SwissProt:
Q13588
ELISA Recommended dilution:
5000-10000
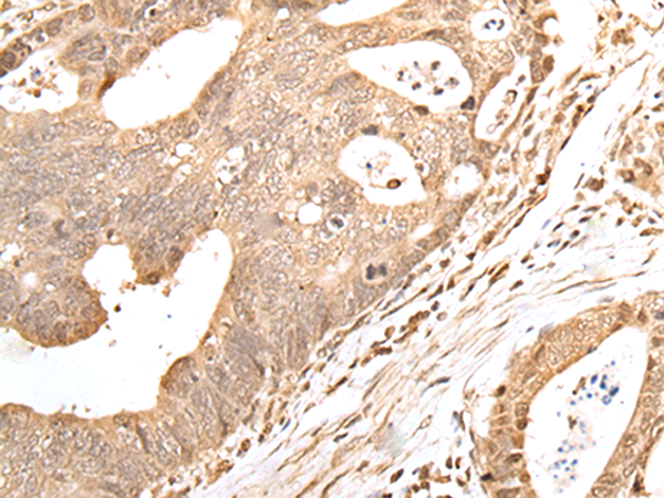
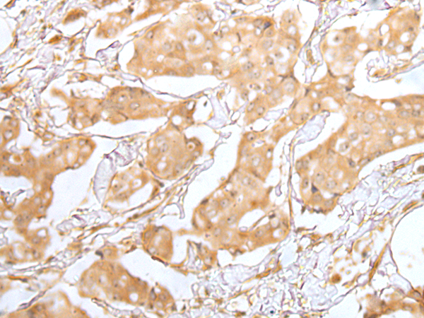
IHC positive control:
Human gastric cancer and human breast cancer
IHC Recommend dilution:
30-150


購物車
幫助
021-54845833/15800441009
