|
Background: |
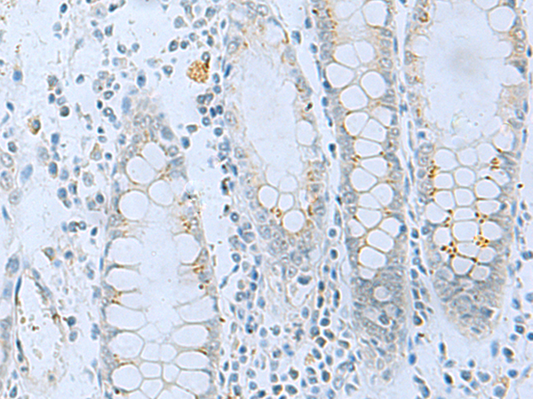
Apolipoprotein B48 receptor is a macrophage receptor that binds to the apolipoprotein B48 of dietary triglyceride (TG)-rich lipoproteins. This receptor may provide essential lipids, lipid-soluble vitamins and other nutrients to reticuloendothelial cells. If overwhelmed with elevated plasma triglyceride, the apolipoprotein B48 receptor may contribute to foam cell formation, endothelial dysfunction, and atherothrombogenesis. |
|
Applications: |
ELISA, IHC |
|
Name of antibody: |
APOBR |
|
Immunogen: |
Synthetic peptide of human APOBR |
|
Full name: |
apolipoprotein B receptor |
|
Synonyms: |
APOB48R; APOB100R |
|
SwissProt: |
Q0VD83 |
|
ELISA Recommended dilution: |
500-1000 |
|
IHC positive control: |
Human colorectal cancer and Human brain |
|
IHC Recommend dilution: |
25-50 |
購物車
幫助
021-54845833/15800441009
