中文名稱(chēng):兔抗ANO7多克隆抗體
|
Background: |
This prostate-specific gene encodes a cytoplasmic protein, as well as a polytopic membrane protein which may serve as a target in prostate cancer diagnosis and immunotherapy. Alternative splicing results in multiple transcript variants encoding different isoforms. |
|
Applications: |
WB, IHC, IF |
|
Name of antibody: |
ANO7 |
|
Immunogen: |
Synthesized peptide derived from C-terminal of human TM16G. |
|
Full name: |
anoctamin 7 |
|
Synonyms: |
NGEP; DTMPP; IPCA5; D-TMPP; IPCA-5; PCANAP5; TMEM16G; PCANAP5L |
|
SwissProt: |
Q6IWH7 |
|
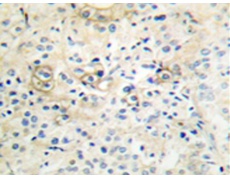
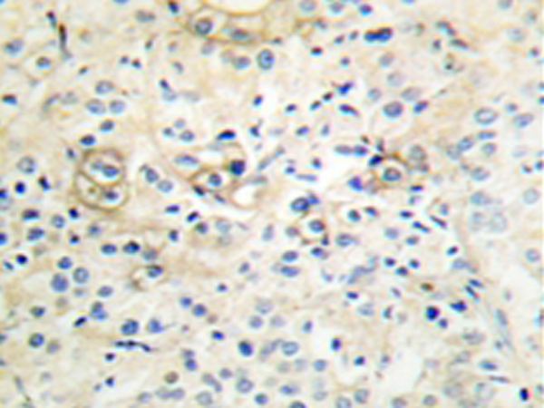
IHC positive control: |
Human prostate carcinoma tissue |
|
IHC Recommend dilution: |
50-100 |
|
WB Predicted band size: |
106 kDa |
|
WB Positive control: |
LOVO cells lysate |
|
WB Recommended dilution: |
500-3000 |
|
IF positive control: |
HepG2 cells |
|
IF Recommend dilution: |
100-500 |
購(gòu)物車(chē)
幫助
021-54845833/15800441009
