|
Background: |
The protein encoded by this gene is involved in the attachment of osteoclasts to the mineralized bone matrix. The encoded protein is secreted and binds hydroxyapatite with high affinity. The osteoclast vitronectin receptor is found in the cell membrane and may be involved in the binding to this protein. This protein is also a cytokine that upregulates expression of interferon-gamma and interleukin-12. Several transcript variants encoding different isoforms have been found for this gene. |
|
Applications: |
ELISA, WB, IHC |
|
Name of antibody: |
SPP1 |
|
Immunogen: |
Fusion protein of human SPP1 |
|
Full name: |
secreted phosphoprotein 1 |
|
Synonyms: |
OPN, BNSP, BSPI, ETA-1 |
|
SwissProt: |
P10451 |
|
ELISA Recommended dilution: |
1000-2000 |
|
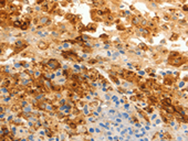
IHC positive control: |
Human ovarian cancer |
|
IHC Recommend dilution: |
25-100 |
|
WB Predicted band size: |
34 kDa |
|
WB Positive control: |
OP9 cells |
|
WB Recommended dilution: |
200-1000 |

購物車
幫助
021-54845833/15800441009
