中文名稱: 兔抗COX16多克隆抗體
|
Background: |
Required for the assembly of the mitochondrial respiratory chain complex IV (CIV), also known as cytochrome c oxidase (PubMed:29355485, PubMed:29381136). Promotes the insertion of copper into the active site of cytochrome c oxidase subunit II (MT-CO2/COX2) (PubMed:29355485, PubMed:29381136). Interacts specifically with newly synthesized MT-CO2/COX and its copper center-forming metallochaperones SCO1, SCO2 and COA6 (PubMed:29381136). Probably facilitates MT-CO2/COX2 association with the MITRAC assembly intermediate containing MT-CO1/COX1, thereby participating in merging the MT-CO1/COX1 and MT-CO2/COX2 assembly lines (PubMed:29381136). |
|
Applications: |
ELISA, IHC |
|
Name of antibody: |
COX16 |
|
Immunogen: |
Fusion protein of human COX16 |
|
Full name: |
cytochrome c oxidase assembly factor COX16 |
|
Synonyms: |
hCOX16; HSPC203; C14orf112 |
|
SwissProt: |
Q9P0S2 |
|
ELISA Recommended dilution: |
500-5000 |
|
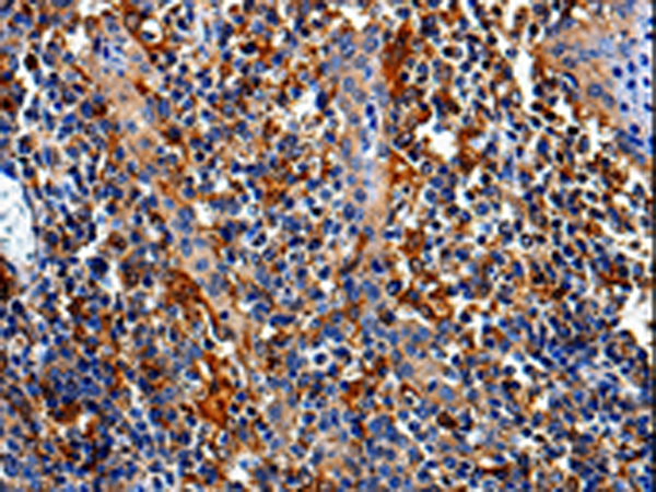
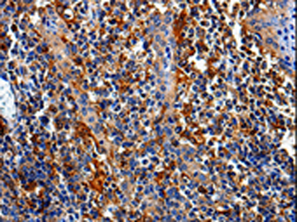
IHC positive control: |
Human tonsil and Human lung cancer |
|
IHC Recommend dilution: |
25-100 |
購(gòu)物車(chē)
幫助
021-54845833/15800441009
