中文名稱(chēng): 兔抗COX15多克隆抗體
|
Background: |
Cytochrome c oxidase (COX), the terminal component of the mitochondrial respiratory chain, catalyzes the electron transfer from reduced cytochrome c to oxygen. This component is a heteromeric complex consisting of 3 catalytic subunits encoded by mitochondrial genes and multiple structural subunits encoded by nuclear genes. The mitochondrially-encoded subunits function in electron transfer, and the nuclear-encoded subunits may function in the regulation and assembly of the complex. This nuclear gene encodes a protein which is not a structural subunit, but may be essential for the biogenesis of COX formation and may function in the hydroxylation of heme O, according to the yeast mutant studies. This protein is predicted to contain 5 transmembrane domains localized in the mitochondrial inner membrane. Alternative splicing of this gene generates two transcript variants diverging in the 3' region. |
|
Applications: |
ELISA, IHC |
|
Name of antibody: |
COX15 |
|
Immunogen: |
Synthetic peptide of human COX15 |
|
Full name: |
COX15, cytochrome c oxidase assembly homolog |
|
Synonyms: |
CEMCOX2 |
|
SwissProt: |
Q7KZN9 |
|
ELISA Recommended dilution: |
5000-10000 |
|
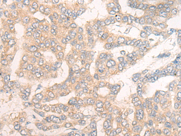
IHC positive control: |
Human liver cancer |
|
IHC Recommend dilution: |
20-100 |
購(gòu)物車(chē)
幫助
021-54845833/15800441009
