中文名稱: 兔抗UGT2B15多克隆抗體
|
Background: |
This gene encodes a member of the UDP-glycosyltransferase (UDPGT) family. The UDPGTs are of major importance in the conjugation and subsequent elimination of potentially toxic xenobiotics and endogenous compounds. This protein displays activity towards several classes of xenobiotic substrates, including simple phenolic compounds, 7-hydroxylated coumarins, flavonoids, anthraquinones, and certain drugs and their hydroxylated metabolites. It also catalyzes the glucuronidation of endogenous estrogens and androgens. |
|
Applications: |
ELISA, IHC |
|
Name of antibody: |
UGT2B15 |
|
Immunogen: |
Synthetic peptide of human UGT2B15 |
|
Full name: |
UDP glucuronosyltransferase 2 family, polypeptide B15 |
|
Synonyms: |
HLUG4; UGT2B8; UDPGTH3; UDPGT 2B8; UDPGT2B15 |
|
SwissProt: |
P54855 |
|
ELISA Recommended dilution: |
5000-10000 |
|
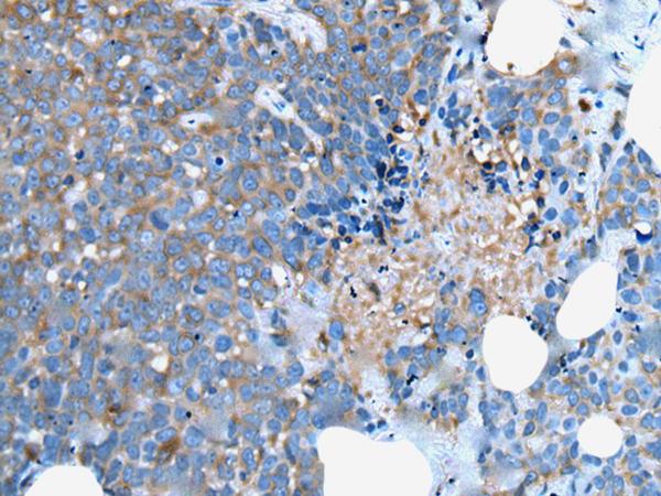
IHC positive control: |
Human breast cancer |
|
IHC Recommend dilution: |
20-100 |

購物車
幫助
021-54845833/15800441009
