|
Background: |
This gene encodes a member of the cytochrome P450 superfamily of enzymes. The cytochrome P450 proteins are monooxygenases which catalyze many reactions involved in drug metabolism and synthesis of cholesterol, steroids and other lipids. The encoded protein metabolizes drugs as well as the steroid hormones testosterone and progesterone. This gene is part of a cluster of cytochrome P450 genes on chromosome 7q21.1. Two pseudogenes of this gene have been identified within this cluster on chromosome 7. Expression of this gene is widely variable among populations, and a single nucleotide polymorphism that affects transcript splicing has been associated with susceptibility to hypertensions. Alternative splicing results in multiple transcript variants. |
|
Applications: |
ELISA, IHC |
|
Name of antibody: |
CYP3A5 |
|
Immunogen: |
Synthetic peptide corresponding to a region derived from 238-250 amino acids of human CYP3A5 |
|
Full name: |
cytochrome P450 family 3 subfamily A member 5 |
|
Synonyms: |
CP35; PCN3; CYPIIIA5; P450PCN3 |
|
SwissProt: |
P20815 |
|
ELISA Recommended dilution: |
5000-10000 |
|
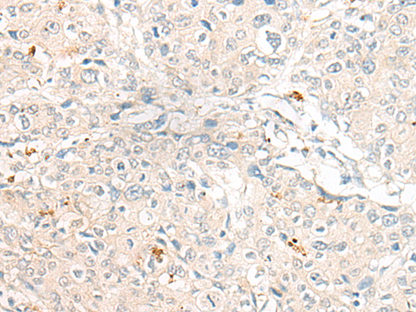
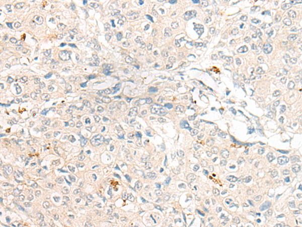
IHC Positive control: |
Human liver cancer;Human prostate cancer |
|
IHC Recommended dilution: |
20-100 |

購物車
幫助
021-54845833/15800441009
