|
Background: |
Dual-specificity phosphatases (DUSPs) constitute a large heterogeneous subgroup of the type I cysteine-based protein-tyrosine phosphatase superfamily. DUSPs are characterized by their ability to dephosphorylate both tyrosine and serine/threonine residues. DUSP7 belongs to a class of DUSPs, designated MKPs, that dephosphorylate MAPK (mitogen-activated protein kinase) proteins ERK (see MIM 601795), JNK (see MIM 601158), and p38 (see MIM 600289) with specificity distinct from that of individual MKP proteins. MKPs contain a highly conserved C-terminal catalytic domain and an N-terminal Cdc25 (see MIM 116947)-like (CH2) domain. MAPK activation cascades mediate various physiologic processes, including cellular proliferation, apoptosis, differentiation, and stress responses (summary by Patterson et al., 2009 [PubMed 19228121]). |
|
Applications: |
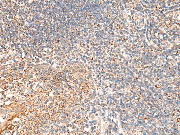
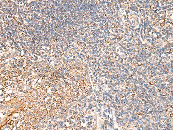
ELISA, IHC |
|
Name of antibody: |
DUSP7 |
|
Immunogen: |
Fusion protein of human DUSP7 |
|
Full name: |
dual specificity phosphatase 7 |
|
Synonyms: |
MKPX; PYST2 |
|
SwissProt: |
Q16829 |
|
ELISA Recommended dilution: |
5000-10000 |
|
IHC positive control: |
Human tonsil |
|
IHC Recommend dilution: |
50-300 |
購(gòu)物車(chē)
幫助
021-54845833/15800441009
