|
Background: |
Eukaryotic initiation factor 3 subunit B (eIF3B) is one of at least 13 non-identical protein subunits of eukaryotic initiation factor 3 (eIF3). eIF3 is the largest eIF (~650 kDa) and functions to facilitate binding of the 40S ribosomal subunit to the 5'-end of cellular mRNAs near the cap structure (m7GpppN). eIF3B is a conserved subunit and part of the functional core of eIF3. It bears a non-canonical RNA recognition motif (RRM) and interacts directly with the eIF3S1 subunit. |
|
Applications: |
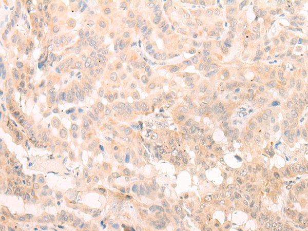
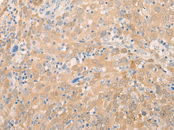
ELISA, IHC |
|
Name of antibody: |
EIF3B |
|
Immunogen: |
Synthetic peptide of human EIF3B |
|
Full name: |
eukaryotic translation initiation factor 3 subunit B |
|
Synonyms: |
PRT1; EIF3S9; EIF3-ETA; EIF3-P110; EIF3-P116 |
|
SwissProt: |
P55884 |
|
ELISA Recommended dilution: |
5000-10000 |
|
IHC positive control: |
Human cervical cancer and Human thyroid cancer |
|
IHC Recommend dilution: |
30-150 |

購物車
幫助
021-54845833/15800441009
