中文名稱:兔抗ZXDA多克隆抗體
|
Background: |
This gene encodes one of two duplicated zinc finger genes on chromosome Xp11. This gene is the telomeric copy; GeneID 158586 ZXDB is the more centromeric copy. The two genes have 98% nucleotide sequence similarity, and the predicted proteins contain 10 tandem zinc finger motifs. |
|
Applications: |
ELISA, IHC |
|
Name of antibody: |
ZXDA |
|
Immunogen: |
Synthetic peptide of human ZXDA |
|
Full name: |
zinc finger, X-linked, duplicated A |
|
Synonyms: |
ZNF896 |
|
SwissProt: |
P98168 |
|
ELISA Recommended dilution: |
5000-10000 |
|
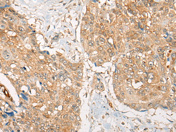
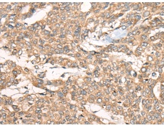
IHC positive control: |
Human liver cancer and human esophagus cancer |
|
IHC Recommend dilution: |
25-100 |

購(gòu)物車
幫助
021-54845833/15800441009
