中文名稱: 兔抗ARRB1(Phospho-Ser412)多克隆抗體
|
Background: |
Members of arrestin/beta-arrestin protein family are thought to participate in agonist-mediated desensitization of G-protein-coupled receptors and cause specific dampening of cellular responses to stimuli such as hormones, neurotransmitters, or sensory signals. Arrestin beta 1 is a cytosolic protein and acts as a cofactor in the beta-adrenergic receptor kinase (BARK) mediated desensitization of beta-adrenergic receptors. |
|
Applications: |
WB, IHC |
|
Name of antibody: |
ARRB1(Phospho-Ser412) |
|
Immunogen: |
Peptide sequence around phosphorylation site of Serine 412 (T-G-S(p)-P-Q) derived from Human Arrestin 1. |
|
Full name: |
arrestin, beta 1 |
|
Synonyms: |
ARB1; ARR1 |
|
SwissProt: |
P49407 |
|
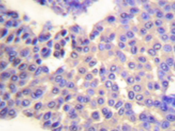
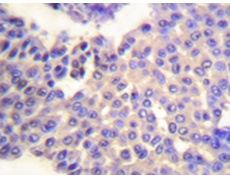
IHC positive control: |
Human breast carcinoma tissue |
|
IHC Recommend dilution: |
50-100 |
|
WB Predicted band size: |
47 kDa |
|
WB Positive control: |
COS7 cells lysates treated with Etoposide |
|
WB Recommended dilution: |
500-1000 |
購(gòu)物車
幫助
021-54845833/15800441009
