中文名稱:兔抗ARPP21多克隆抗體
|
Background: |
This gene encodes a cAMP-regulated phosphoprotein. The encoded protein is enriched in the caudate nucleus and cerebellar cortex. A similar protein in mouse may be involved in regulating the effects of dopamine in the basal ganglia. Alternate splicing results in multiple transcript variants. |
|
Applications: |
WB, IHC |
|
Name of antibody: |
ARPP21 |
|
Immunogen: |
Synthesized peptide derived from internal of human ARPP21. |
|
Full name: |
cAMP-regulated phosphoprotein, 21kDa |
|
Synonyms: |
RCS; TARPP; R3HDM3; ARPP-21 |
|
SwissProt: |
Q9UBL0 |
|
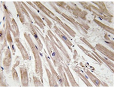
IHC positive control: |
Human heart tissue |
|
IHC Recommend dilution: |
50-100 |
|
WB Predicted band size: |
89 kDa |
|
WB Positive control: |
Hela cells lysate |
|
WB Recommended dilution: |
500-3000 |
購(gòu)物車
幫助
021-54845833/15800441009
